Index to the Adrenal Gland Module
Overview
Character – Normal
Capsule
Arterial Supply – Extra Adrenal Anatomy
Arterial Supply – Intra- Adrenal Anatomy
Arterial Supply – Imaging
Arterial Supply – Abnormal
Venous Drainage
Venous Drainage – Venography
Venous Drainage – Imaging CT
Lymphatics
Nerve Supply
Relations
Relations – Right adrenal
Relations – Left adrenal
Embryology
Abnormal Gland
Incidentaloma
Bilateral Adrenal Masses
Calcification in the Adrenal
Cyst in the Adrenal
CT of the Adrenal Glands
Normal Character on CT Scan
MR Imaging of the Adrenal Glands: Overview
Normal Character on MRI
Abnormal Adrenal on MRI
US Imaging of the Adrenal Glands
Conclusion Adrenal
Definition |
|
|
The adrenals are paired endocrine glands secreting catecholamines (norepinephrine and epinephrine)from the inner medulla, and steroid hormones from the outer cortex. The medulla is controlled by the neurendocrine axis, while the cortex is controlled mostly by the pituitary gland. The adrenals are located retroperitoneally at the upper poles of the kidneys. They mainly help the body in its response to stress as well as play a role in maintaining blood pressure and salt balance. When faced with a stressful situation, the medulla of the adrenal glands secrete epinephrine (adrenaline) causing an “adrenaline rush” preparing the body for “fight or flight”.
|
|
![]() This drawing reveals the intimate relationship between the adrenal glands (a.k.a. suprarenal glands) with the kidneys. Although they are paired, they usually appear quite different on cross sectional imaging. Ashley Davidoff MD 2018 39532 adrenals-0012 |
|
Historical Perspective |
|
|
The anatomy of the adrenal glands appears to have been described first in 1563 by Bartholomeo Eustachiusas the “glandulae renis incumbentes” in his Tabulae Anatomicae. Ideas about the function of the adrenal glands lagged behind. Thomas Bartholin proposed that these “capsulae atrabilariae” purified black bile that eventually drained into the renal veins.In 1714 Lancisius Emil Huschke first differentiated the two layers of the adrenal gland, the cortex and the medulla, anatomically. Edme F.A. Vulpian demonstrated the differential staining of the two regions histologically.In 1716 the Academie des Sciences de Bordeaux offered a prize for the answer to the question, “What is the purpose of the suprarenal glands?” Charles de Montesquieu, judging the responses, found the essays so unsatisfactory that he was unable to award the prize, concluding that “Perhaps some day chance will reveal what all of this work was unable to do.” Evidence for a central physiological role for adrenal glands came from clinical observation. On March 15, 1849, Thomas Addison presented a paper to the South London Medical Society entitled, “On anaemia: disease of the supra-renal capsules,” a result of his interest in idiopathic, or pernicious, anemia. Three of the patients he described had adrenal disease at autopsy, and it was the only abnormality that was identified in two of them. Harvey Cushing began his career at the Massachusetts General Hospital and is considered a pioneer of Neurosurgery, making several fundamental discoveries about the pituitary gland and its relation to the adrenals. Due to his extensive work, Cushing’s disease and syndrome are named after him. |
|
![]() Ashley Davidoff MD 2018 39536 adrenals-0022 Ashley Davidoff MD 2018 39536 adrenals-0022 |
|

This image combines the coronal view with the axial view and reflects the intimate relationships that the adrenals have with the kidneys as well as the great vessels of the abdomen. They literally have their fingers on the pulse of the aorta (red overlay) and the inferior vena cava (IVC) (blue overlay)
Ashley Davidoff MD 2018
39533
adrenals-0018

As a paired organ you would think that they would be perfectly symmetrical, like the hands or feet, but in fact they look quite different, particularly in cross-section. The right tends to be long and thin and the left short and stout.Images
Courtesy of: Ashley Davidoff, M.D.
adrenals-0003
|
Normal Transverse View
|
|
|
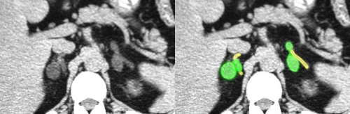
The adrenals can be found just lateral to the crus of the diaphragm. They have a ‘wishbone’ shape, or upside down ‘y’ shape and are surrounded by fat. In general the right adrenal is the long and thin one of family, and the left the short and chubby one.Often the lateral limb of the right adrenal gland is pressed against the liver and cannot be clearly seen. Since the limbs are soft, compressible, and malleable, they often are distorted by normal surrounding structures producing “bends” in them. This sometimes results in difficulty distinguishing cases of abnormal nodules and hyperplasia (increased size) from normal distortion.
|
|
![]() The crura of the diaphragm (maroon overlay) can be seen as muscle bundles alongside the vertebral body and surrounding the aorta. The limbs of the adrenal gland (yellow overlay)should not be thicker than the crura. In this instance, the right adrenal gland is normal. The knobbly appearance of the left gland is also normal. At first glance it does appear thickened and concerning, but when the bend of the medial limb is recognized as a structural consequence of compression, the appearance becomes less concerning. The distinction between “knobbly normal” and “knobbly hyperplasia” is sometimes difficult.Courtesy of: Ashley Davidoff, M.D. adrenals-00023 |
|
|
Normal Frontal View
|
|
|
The adrenal glands are located retroperitoneally in the abdomen. They sit on the upper poles of the kidneys on the posterior abdominal wall and extend roughly from the level of the 11th thoracic rib to the first lumbar vertebrae.The right adrenal is slightly more lateral than the left. Since the adrenals sit on top of kidneys, and the right kidney is usually lower than the left, the right adrenal is usually more inferior.
|
|
![]() This drawing reveals the intimate relationship between the adrenal glands (a.k.a. suprarenal glands) with the kidneys. Although they are paired, they usually appear quite different on cross sectional imaging. Courtesy of: Ashley Davidoff, M.D. adrenals-00024 |
|
Size |
|
|
The adrenals can vary in weight anywhere between 4 to 14 grams, but the average weight is between 3 to 6 grams. Only about 10% of the gland’s weight is from the medulla (inner portion).The average adrenal dimensions are:
The left adrenal is slightly larger than the right. |
|
|
![]() |
|
![]() In this case the normal medial limb of the right adrenal gland is elongated. This is a normal variant. The lateral limb is pushed against the liver. Courtesy of: Ashley Davidoff, M.D. adrenals-00025 |
|
![]() In this instance the adrenal size is clearly abnormal. The abnormal areas of metastatic disease are overlayed in green. The thickening of the medial limb of the right and the mass on the left result in an increased size of the each of adrenal glands. Courtesy of: Ashley Davidoff, M.D. |
|
| Size – small and large | |
|
|
|
|
|
|
Shape |
|
|
In general the adrenals have a ‘wishbone’, or upside down ‘y’ shape, but they are not usually symmetrical. Although they are naturally asymmetric structures, part of their shape discrepancy relates to the variability in their surroundings. Since they are in different relative positions they have different surroundings.When there is a paucity of fat or the surrounding structures push on them, they tend to distort. The right adrenal gets pushed against the liver, and elongates, while the left becomes irregular and “knobbly”. Thus in general, the right is long and thin and the left short and stout. When there is a large amount of retroperitoneal fat they tend to look more alike in cross section.
|
|
![]() In general the adrenal glands are triangular in shape and are reminiscent of the shape of the “wishbone” or the breast bone of the chicken. Courtesy of: Ashley Davidoff, M.D. adrenals-00029 |
|
![]() The right adrenal gland, in this case, looks exactly like the inserted drawing of the “wishbone”. This represents the typical appearance of the glands – the right long and thin, and the left short and stout. The bright red overlays represent some of the branches of the adrenal arteries. Courtesy of: Ashley Davidoff, M.D. adrenals-00030 |
|
|
|
|
|
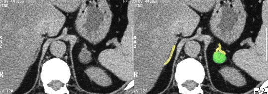
The adrenal glands should be well defined, and be free of nodularity, such as seen in this normal case. The distinction between “knobbly normal”, and “knobbly hyperplasia” (disease) as stated previously, is a difficult but very important distinction to make. Courtesy of: Ashley Davidoff, M.D. adrenals-00025 |
|
![]() This case shows bilateral nodularity caused by bilateral adrenal adenomas. The abnormal areas are overlayed in green and the normal adrenal outlined in yellow. Images courtesy of: Ashley Davidoff, M.D. adrenals-00031 |
|
Position |
|
![]() Imagine two young boys with straw hats fishing by the river. The boy in red is napping and has his hat on his forehead – the left adrenal. The other boy in blue is wide awake and has his hat atop his head – the right adrenal. This is how the adrenals are positioned relative to the superior poles of the kidneys. Ashley Davidoff MD 2018 39535 adrenals-0015 |
|
|
|
|
|
Now take a look at the straw hats as they are positioned on the kidneys. The left adrenal lies more medial and is therefore more compressed by surrounding structures including the medially positioned spine. The right adrenal is more able to take on its naturally triangular shape. Courtesy of: Ashley Davidoff, M.D. adrenals-0018 |
|
|
The adrenal glands are usually difficult to find. Since the left kidney is slightly more superior than the right, theleft adrenal is usually more superior. The left adrenal can be found when the splenic vein crosses behind the pancreas from the spleen to the portal vein, and the right adrenal can be found when the IVC frees itself from its intrahepatic portion inferiorly. The gland must be identified superiorly and inferiorly until no part of the gland remains, since exophytic tumors off the gland are not uncommon.The adrenals or adrenal like tissue can be found in places other than its normal position. This is termed ‘ectopic’ adrenal tissue. |
|
![]() In these images, the right adrenal is best seen as the IVC (blue overlay) emerges from the liver. Parts of the left adrenal are visualized as the splenic vein (blue overlay) courses behind the pancreas to the portal vein. Courtesy of: Ashley Davidoff, M.D. adrenals-00032 |
|
Parts – Structural
The adrenal gland consists of 2 main parts:1. an outer cortex which secretes several classes of steroid hormones;
2. an inner medulla which is the source of the catecholamines epinephrine and norepinepherine.The adrenal also has a thin outer fibrous capsule which can vary in thickness from gland to gland, and in some cases, even within the same gland.

The adrenal gland consists of 2 main parts:1. an outer cortex which secretes several classes of steroid hormones;2. an inner medulla which is the source of the catecholamines epinephrine and norepinepherine.The adrenal also has a thin outer fibrous capsule which can vary in thickness from gland to gland, and in some cases, even within the same gland.
Courtesy Ashley Davidoff MD
adrenals-00033
Parts – Functional |
|
![]() The outermost layer, the zona glomerulosa produces aldosterone. The middle layer of the cortex produces cortisol, and the inner layer produces androgens. The medulla produces adrenalin, a type of catecholamine. Courtesy of: Ashley Davidoff, M.D. adrenals-00034 |
|
![]() Aldosterone is responsible for water and salt balance which in turn is intimately related to blood pressure control. Cortisol, is responsible for responding to physically stressful situations. Androgens are responsible for developing male characteristics. The medulla produces adrenalin which is resposible for urgent “fight or flight” situations. Courtesy of: Ashley |
|
Parts – Imaging |
|
| Parts – Imaging | |
|
In imaging it is usually not possible to differentiate between the cortex and the medulla, and we divide the adrenal into the medial and lateral limbs which are joined together at the apex of the gland.
|
|
![]() In this image we have been able to identify each of the four limbs that make up the two adrenal glands. Each has a medial and a lateral limb joined together at the apex. The left adrenal vein is noted as the blue overlay. Courtesy of: Ashley Davidoff, M.D. adrenals-00037 |
|
![]() In this early arterial phase, there appear to be a number of layers in the left adrenal. We have interpreted them as the cortex and medulla as seen in the yellow and red overlay. With the advancing multidetector technology, the distinction between cortex and medulla may be uncovered. This is an exciting prospect! Courtesy of: Ashley Davidoff, M.D. adrenals-00038 |
|
CharacterThe normal adrenal gland is soft and friable. It is usually surrounded by fatty tissue and is encapsulated. The surface appears corrugated or nodular and is usually not smooth. The normal color is a golden yellow color which can be distinguished from the more pale surrounding fat. The capsule is a thin fibrous structure surrounding the gland attached by many fibrous bands which penetrate into the gland. When the adrenal is cut, the outer cortex and the inner medulla can be distinguished by color. The cortical (outer) layer appears golden yellow while the inner medulla appears more flattened and a darker reddish/brown. ![]() The adrenal gland consists of 2 main parts:1. an outer cortex which secretes several classes of steroid hormones;2. an inner medulla which is the source of the catecholamines epinephrine and norepinepherine.The adrenal also has a thin outer fibrous capsule which can vary in thickness from gland to gland, and in some cases, even within the same gland. Courtesy Ashley Davidoff MD adrenals-00033 |
||
|
The cortical (outer) layer appears golden yellow while the inner medulla appears more flattened and a darker reddish/brown. |
||
![]() The adrenal glands behave like other parenchymal organs on CT scanning in that they are of soft tissue density. Under physically stressful situations, they may enhance signifcantly more than other organs due to their rich blood supply. Courtesy of: Ashley Davidoff, M.D. adrenals-00039 |
||
|
|
||
|
||
|
On T1-weighted imaging, the intensity of the adrenals is less than that of the surrounding liver and spleen. While on T2-weighted imaging, the adrenal is usually close to the intensity of the liver. Courtesy of: Ashley Davidoff, M.D. |
||
Capsule |
||
|
Each gland is encased in a thin layer of loose areolar connective tissue and a thick fibrous capsule. The capsule is attached by fibrous bands extending into the substance of the gland.
|
||
|
||
|
The fibrous capsule (white) surrounds the gland and is fixed to the gland by multiple fine strands of fibrous tissue that extend into the gland. (highlighted in red). Courtesy of: Ashley Davidoff, M.D. adrenals-0020
|
||
|
||
|
This is an artist’s rendition of thin fibrous strands of the capsule penetrating the cortex. Courtesy of: Ashley Davidoff, M.D. |
||
Arterial Supply

In this early arterial phase, there appear to be a number of layers in the left adrenal. We have interpreted them as the cortex and medulla as seen in the yellow and red overlay. With the advancing multidetector technology, the distinction between cortex and medulla may be uncovered. This is an exciting prospect!
Courtesy of: Ashley Davidoff, M.D.
adrenals-00038
| – Extra – Adrenal Anatomy | ||
| The adrenal gland is very vascular, receiving an estimated 6 to 7 ml/g per minute, or about 25ml/minutein the resting state. Why does it have such a large blood supply? The body’s second to second need to respond to crisis situations requires enough blood to pass by the adrenals to circulate important and necessary hormones.
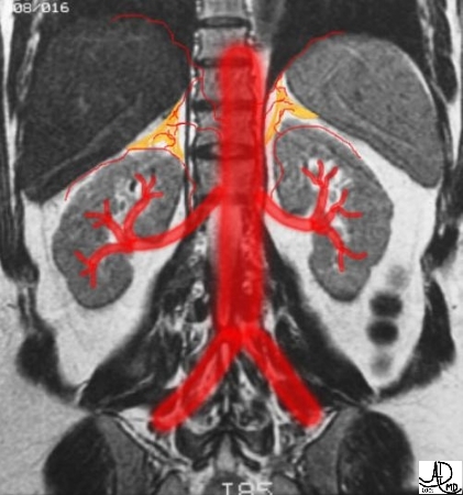
The blood supply of the adrenal gland is derived from three adrenal arteries: the superior artery is a branch of the inferior phrenic artery; the middle artery arises directly from the aorta; and the inferior artery arises from the renal artery. The primary blood supply of the right adrenal comes from the superior and inferior adrenal arteries, whereas the left adrenal is supplied primarily by the middle and inferior adrenal arteries. The three arteries branch, and each gland may have up to 50 small arterial branches enter the perimeter, supplying a gland that obviously commands a tremendous blood supply. |
||
![]() |
||
| This coronal T1-weighted image has been overlayed with the arterial anatomy of the adrenal. Each gland receives arterial blood from three arteries – the superior, middle and inferior adrenal arteries.
Courtesy of: Ashley Davidoff, M.D.adrenals-0006 |
||
There are three adrenal arteries – the superior that arises from the inferior phrenic artery, the middle that arises directly off the aorta and the inferior that arises from the renal artery usually as a branch of the capsular artery. This schematic only shows 3 branches per vessel, but in reality there is extensive branching before each artery actually enters the gland.Courtesy of: Ashley Davidoff, M.D. |
||
|
|
||
In this early phase arterial CT, multiple branches of the adrenal arteries are overlayed in red. Branches of the inferior phrenic arteries are seen in close association with the crura of the diaphragm. The veins have not yet filled with contrast.Courtesy of: Ashley Davidoff, M.D. |
||
Arterial Supply – Intra- Adrenal Anatomy |
||
|
Up to 50 to 60 small feeder vessels penetrate the anterior and posterior surfaces of the glands and form a plexus beneath the capsule. Cortical arteries supply the cortex from the subcapsular plexus, which drains centripetally toward the medulla. Medullary arteries pass through the cortex and supply the medulla directly. In the zona reticularis, the capillaries coalesce to form progressively larger venous sinuses that drain centrally.Medullary capillaries form venous channels, which eventually forms a single adrenal vein that usually drains into the vena cava on the right and into the renal vein on the left. |
||
|
||
|
This image shows a schematic of the histologic distribution of the adrenal arterial supply and venous drainage. The dominant area of arterial supply is the cortex, and the dominant area of venous drainage is the medulla. Courtesy of: Ashley Davidoff, M.D. adrenals-0008
|
||
Arterial Supply – Imaging |
||
|
||
|
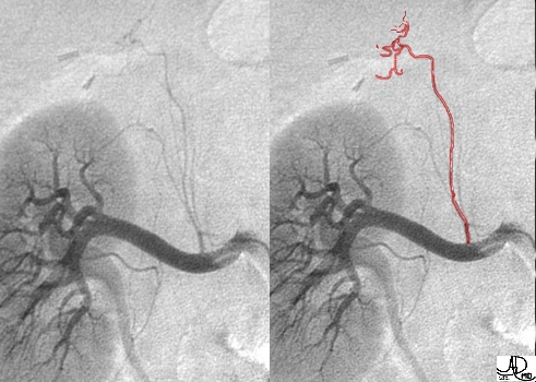
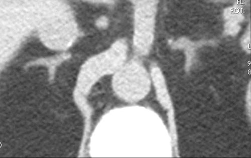
This image reflects the right renal artery with the capsular branch arising from within 2 cm. from the aortic origin. The inferior adrenal artery is overlayed in red and can be seen terminating in a tuft of vessels at the adrenal gland. Courtesy of: Ashley Davidoff, M.D. |
||
|
||
|
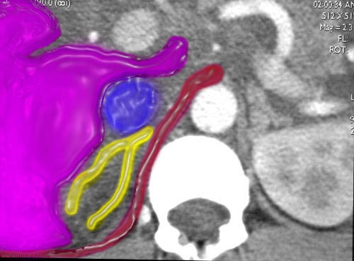
In this instance the middle and superior adrenal arteries can be seen supplying the right adrenal gland.(yellow overlay) Courtesy of: Ashley Davidoff, M.D. |
||
|
||
|
This image depicts the relationship of the middle and superior adrenal arteries with the adrenal gland and the superior pole of the right kidney. Courtesy of: Ashley Davidoff, M.D. |
||
Arterial Supply – Abnormal |
||
|
||
| In this injection of the middle adrenal artery, a mass is apparent in the right adrenal gland. The branches of the artery are distorted and, rather than a triangular shape as seen on previous image, we see a rounded mass. There is evidence of early venous filling (blue overlay) reflecting an arteriovenous shunt, characteristic of a hypervascular tumor.Courtesy of: Ashley Davidoff, M.D. | ||
Venous Drainage |
||
The venous drainage of the adrenals occurs via a single vein that emerges from the anterior surface of each gland. The dominant portion of the adrenal vein arises in the medulla of the gland.
Courtesy of: Ashley Davidoff, M.D. adrenals-0008 |
||
| Adrenal venous drainage is usually through the right and left adrenal veins.
The right adrenal vein exits the apex of the gland and enters the posterior surface of the inferior vena cava. This vein is short (1-5 mm.), fragile, and the most common source of troublesome bleeding during right adrenalectomy. The left adrenal vein is a bit longer (2-4 cm. in length) and usually drains into the left renal vein, either directly or after being joined by the left inferior phrenic vein. Smaller emissary veins may drain into the inferior phrenic, renal, and rarely the hepatic portal veins. Not well recognized is the left inferior phrenic vein, which usually communicates with the adrenal vein which courses medially. This can be injured during dissection of the medial edge of the gland. |
||
|
|
||
In this coronal view the shorter right adrenal vein can be seen entering the IVC, and the longer left vein, drains into the left renal vein. This information is very important for the angiographer who sometimes needs to sample the veins for hormonal levels. Note that the long and thin right adrenal gland has the short adrenal vein that enters directly into the IVC, while the short and stout left gland has a long vein that enters into the left renal vein.
Courtesy of: Ashley Davidoff, M.D. |
||
|
||
| Remember – the tall and thin one of the family (right adrenal) has the short vein, while the short and stout one (left adrenal) has the long vein. Note also that the vein of the right gland enters directly into the IVC, while the vein of the left gland enters into the left renal vein.Courtesy of: Ashley Davidoff, M.D. | ||
Venous Drainage – Venography |
||
|
This series of three images reflects a study called “adrenal vein sampling” which requires the simultaneous catheterization of the adrenal veins. This procedure is used to identify relative and absolute concentrations of hormone secretion from the glands to distinguish between normal, bilateral hyperplasia, and unilateral adenoma.
|
||
|
||
|
The first image shows the catheters in each of the adrenal veins. The second image is a venogram of the right adrenal vein, and the third a venogram of the left. The venogram is mainly performed to confirm that the catheter is in the correct position, because the veins, particularly the right, may be difficult to find and other small veins coming into the IVC may masquerade as adrenal veins. It is absolutely essential to be in the “right place at the right time” for this test. Courtesy of: Ashley Davidoff, M.D. |
||
|
||
|
This image is an overlay and an enlarged version of the first image above. It shows the right catheter entering the short right adrenal vein, exiting from above the right gland, and entering the IVC. The left adrenal vein, which is longer, exits from below the left gland and enters into the left renal vein. The insert of the “duel” is a reminder of the short vein on the right and the long vein on the left. Courtesy of: Ashley Davidoff, M.D. |
||
|
||
|
This image is an overlay and an enlarged version of the second image from the initial series above. It shows the right catheter entering the shorter right adrenal vein, exiting from above the right gland, and entering the IVC. The yellow overlay is an approximation of the right adrenal gland. Courtesy of: Ashley Davidoff, M.D. |
||
Venous Drainage – Imaging CT |
||
|
||
|
The left adrenal vein is almost always seen in cross sectional imaging lying at the apex of the gland. In this case both adrenal veins are identified (blue overlay). We have reviewed this case before which represents an aldosteronoma of the left adrenal gland. (green nodule) Courtesy of: Ashley Davidoff, M.D. |
||
Lymphatics |
||
|
Lymphatic vessels arise from a plexuses deep within the capsule and in the medulla only. The lymph vessels follow the central vein and the main venous tributaries throughout the medulla of the adrenal gland. Lymphatic plexuses drain to para-aortic and renal lymph nodes.There is no lymphatic supply to the cortex of the adrenal.
|
||
|
||
|
Note that the lymphatics (light yellow) travel with the venous system of the adrenal glands. The lymphatic system is colored in light yellow while the color of the superior lumbar nodes is in accentuated yellow. The superior lumbar nodes connect with other nodes in the abdomen, and as always, the final common pathway is the thoracic duct which enters into the left subclavian vein. Courtesy of: Ashley Davidoff, M.D. |
||
Nerve Supply |
||
|
The adrenal glands receive nerves from the lower thoracic (T10 – T12) and upper lumbar (L1 – L2) nerve plexuses. The nerves travel with the arteries. The nerve supply forms a plexus of medullated and nonmedullated nerves on the capsule of the gland primarily on the posterior aspect. The nerves enter the gland with the arterioles and help regulate the high adrenal blood flow.
|
||
|
||
|
The nerves to the adrenal gland,(colored in white) travel with the arteries. The neurendocrine axis has to respond very rapidly to urgent, and sometimes emergency situations, and so the nerve supply is quite rich, and the interaction and intimate relationship with the arterial system is appropriately intimate and rich. Plexuses of the autonomic system (white overlay) course in a paraaortic position and connect with each other as well as the organs that they supply. Courtesy of: Ashley Davidoff, M.D. |
||
Relations |
||
|
The anatomic location of the adrenals, sandwiches them between several organs, and on the border between two major cavities. The adrenals are positioned differently in relation to the kidneys and to other asymmetric organs such as the liver, pancreas, and spleen.
|
||
|
||
|
These coronal MRI images show the adrenals surrounded by retroperitoneal fat, padded by the liver on the right and the spleen on the left, and displaced from the superior aspect of the kidneys by a “mop” of fat. Courtesy of: Ashley Davidoff, M.D. |
||
|
||
|
This is a larger and more colorful version of the previous set. Note the relationship of the tail of the pancreas (in light pink) to the left adrenal and the medial relationship of the great vessels (“finger on the pulse”) and crura.(slithers of maroon extending from the hemidiaphragms). |
||
|
||
|
This embedded cross section reflects the true relationship of the great vessels to the adrenals. The IVC really is positioned anterior to the right adrenal while the aorta lies medial to the left. Courtesy of: Ashley Davidoff, M.D. |
||
Relations – Right adrenal |
||
|
The right adrenal is framed by the following:
|
||
|
||
|
This cross sectional image shows the crus of the diaphragm (maroon), IVC (blue), and the liver (purple), surrounding the right adrenal (yellow). Courtesy of: Ashley Davidoff, M.D. |
||
Relations – Left adrenal |
||
|
The left adrenal is framed by the following:
|
||
|
||
|
This cross sectional image of the superior aspect of the left upper abdomen shows the spleen (dark pink), splenic artery and vein in the splenic hilum, the pancreas (light pink), crus of the diaphragm (maroon), aorta (red), and the spine surounding the left adrenal (yellow). Courtesy of: Ashley Davidoff, M.D. |
||
|
||
|
This coned down cross sectional image, more inferiorly, shows the left kidney (bright red), the tubular wisps of the splenic artery and vein anterolaterally, the pancreas (pink), crus of the diaphragm (maroon), aorta (red), and the spine surounding left adrenal (yellow). Courtesy of: Ashley Davidoff, M.D. |
||
Embryology |
||
|
Each adrenal consists of two functionally distinct endocrine glands within a single capsule. The cortex derives from mesenchymal cells of the coelomic cavity lining, adjacent to the urogenital ridge. The fetal adrenal gland is recognizable by the second month of gestation when it is invaded by neuroectodermal cells that will form the medulla.The adrenal becomes quite vascular, increases rapidly in size and is actually larger than the kidney at midgestation. By the second trimester, the thin, outer definitive zone that will form the adult cortex becomes distinct. The inner fetal zone comprises most of the adrenal mass and still represents three quarters of the cortex at birth.The fetal zone degenerates rapidly after birth, accounting for only one quarter of the cortical mass at 2 months and vanishing by 1 year. The total adrenal weight declines until age 2 to 3 months, and the growth from this point on parallels growth of the body. The zona reticularis develops during the first year of life. |
||
|
||
|
This anatomic specimen reflects the relatively large size of the right fetal adrenal (yellow) in relation to the kidneys (bright red). The left adrenal has been removed. The ridges in the kidneys are known as fetal lobation which is a normal variant that may persist even into adulthood. Courtesy of: Ashley Davidoff, M.D. |
||
Abnormal Gland |
||
|
Adrenal gland abnormality can vary from subtle thickening of the limbs as seen in hyperplasia, to small subcentimeter adenomatous nodules, to multiple tiny nodules of hyperplasia, to 6cm. (or more) masses. Attention to detail and imaging technique is key to the diagnosis of the abnormal gland.
|
||
|
||
|
The tiny subcentimeter green nodule at the apex of the left adrenal is a surgically proven aldosteronoma, which is a benign tumor that produces excessive aldosterone and causes hypertension. If left untreated, devastating effects of hypertension result. Courtesy of: Ashley Davidoff, M.D. |
||
|
||
|
This case shows bilateral nodularity caused by bilateral adrenal adenomas. The abnormal areas are overlayed in green and the normal adrenal outlined in yellow. Courtesy of: Ashley Davidoff, M.D. |
||
|
||
|
This massive adrenal carcinoma (in green overlay) occupies almost the entire left side of the abdomen, and is so bulky that it has literally pushed the left kidney (red overlay) down to the pelvis, and rightward toward the right kidney. Sometimes adrenal carcinomas can produce hormones which can have functional effects, characterised by the type of hormone that is produced in excess. Courtesy of: Ashley Davidoff, M.D. |
||
|
Masses can be classified according to their size.Conditions producing small masses less than 4 cm. include:
Conditions with larger masses greater than 4 cm. include:
When a mass is greater than 6cm., the most likely diagnosis is a primary carcinoma. |
||
Incidentaloma |
||
|
An “incidentaloma” is the most common adrenal tumor. It represents a small benign adenoma, (“oma” = tumor) of no functional significance, which is found incidentally, and hence its name. A nodule that is less than 3cm. with a density of less than 10 HU on CT, is diagnostic of the “incidentaloma”. The characteristic finding on MRI is a darkening in the “out of phase” T1 sequence of the tumor .
|
||
|
||
|
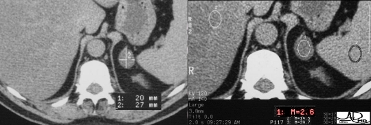
In this CT scan, the green overlay is a soft tissue nodule that was found incidentally. Courtesy of: Ashley Davidoff, M.D. |
||
|
||
|
The nodule is oval, with smooth borders, measures less than 3cm., (left image) and has a density of 2.6 HU. (right image) It is a classical “incidentaloma” or benign adenoma. No further workup is needed. Courtesy of: Ashley Davidoff, M.D. |
||
Bilateral Adrenal Masses |
||
|
In a patient with a known malignancy, particularly in lung or breast carcinomas, the finding of bilateral adrenal masses most likely represents metastatic disease. However, documenting the entity of metastatic adrenal disease is sometimes a decision focus for the type of treatment a patient may receive. In these circumstances, an adrenal biopsy must be performed .
|
||
|
||
|
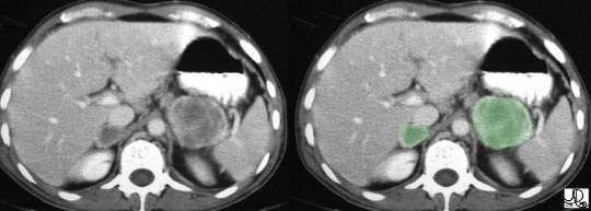
The finding of bilateral masses (green overlay), in a patient with a known malignancy most likely represents metastatic disease. This patient has known lung carcinoma and bilateral masses with peripheral enhancement, which almost certainly represents metastatic disease. Courtesy of: Ashley Davidoff, M.D. |
||
|
The most common causes of bilateral adrenal enlargement include: metastases (especially lung and breast) bilateral adenomas, hemorrhage; spontaneous,: (particularly in infants), traumatic, and bleeding disorders.Less common causes include:
Additionaly, rare causes include:
|
||
|
||
|
This is a rare case of bilateral adrenal enlargement in a patient with end stage lymphoma. Courtesy of: Ashley Davidoff, M.D. |
||
Calcification in the Adrenal |
||
|
||
|
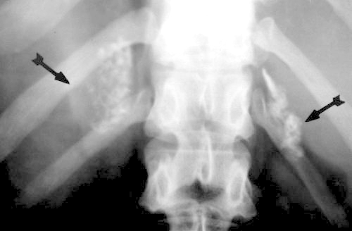
This coned down plain film of the abdomen details bilateral adrenal calcification. Note that in this instance, the right adrenal gland is slightly higher than the left. Courtesy of: Ashley Davidoff, M.D. |
||
|
The most common cause of adrenal calcification is hemorrhage occurring in the perinatal period or as a result of trauma. Other less common entities producing calcifications in the adrenal include:
Uncommon causes include:
The idiopathic causes have no known etiology. |
||
Cyst in the Adrenal |
||
|
Cysts in the adrenal are not uncommon and they may be quite large. Adrenal cysts are fluid containing structures enclosed by a thin smooth wall. In general, adrenal cysts have no functional or clinical significance. MRI is the best method of confirming their make up and morphology.
|
||
|
||
|
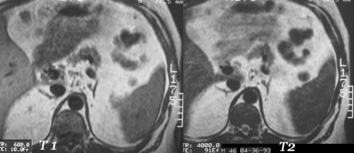
This MRI scan through the upper abdomen shows a fairly large mass in the left adrenal that is dark on T1-weighting, and is as bright as CSF on the T2-weighted image. These findings are characteristic of a benign cyst. No further workup is needed. Note how the right adrenal is compressed against the liver with only the medial limb in view. Courtesy of: Ashley Davidoff, M.D. |
||
CT of the Adrenal Glands
|
Overview
|
|
|
The adrenal gland is surrounded by a natural contrast agent – retroperitoneal fat. The soft tissue density (grey) of the adrenal is easily identified in marked contrast to the black background of the fat. CT is a powerful tool that is well equipped to define the morphology of the gland, but it falls short of MRI in the characterization of a few lesions including cystic lesions and pheochromocytoma.Intravenous contrast is generally not required to define the morphology of the gland. It is particularly important not to use contrast when there is a question of pheochromocytoma, since the contrast can induce a fatal hypertensive crisis.
Optimal collimation is key when studying the adrenal. The adrenals are best visualized with contiguous 3mm. sections (sometimes retrospectively viewed at 1.5mm collimation)through the entire gland.Adrenal CT is included in the staging evaluation of a variety of tumors, particularly bronchogenic carcinoma. Thus the technologist should ensure that both the adrenals are visualised with appropriate collimation in their entirety in cancer staging examinations. In fact, if you “pick up” an unsuspected lung mass on any CT scan, it would be very helpful to include the adrenals using 3mm collimation.It is also important to know that some tumors are exophytic, meaning they hang off the edges of the main gland. Seeing a normal gland on one cut does not mean the gland is normal. The glands have to be examined from top to bottom. |
|
Normal Character on CT Scan |
||
|
The adrenal gland is of soft tissue density on non contrast scan, measuring between 10 and 30 HU on the non contrast study. Because of its rich blood supply, a contrast study will enhance the gland significantly, particularly in stressful situations where blood flow to the gland is increased.
|
||
|
||
|
The adrenal glands behave like other parenchymal organs on CT scanning in that they are of soft tissue density. Under physically stressful situations, they may enhance signifcantly more than other organs due to their rich blood supply. Courtesy of: Ashley Davidoff, M.D. |
||
|
Abnormal Adrenal on CT scan
|
|
|
CT is a highly sensitive modality, although slightly less specific than MRI. The CT may be able to see a disorder, but often cannot exactly define the disorder. However, the CT can easily identify fat, which is present in conditions such as incidentaloma and myelolipoma. If an incidentaloma is suspected, noncontrast study is indicated. CT is more sensitive to the presence of calcification than MRI.It is very important for the radiologist to make a distinction between unilateral disease and bilateral disease. Cushings disease, for example, affects both adrenal glands and treatment may relate to surgical excision of a tumor of the pituitary gland. A unilateral nodule in Conn’s syndrome would require excision only of the affected adrenal gland.In adrenal hemorrhage, serial CT examination will reveal evolution and usually resorption, and hence a progressive decrease in the size of the gland. The issue of adrenal mass or hemorrhage arises in the neonatal setting as well as following trauma in the adult. |
|
MR Imaging of the Adrenal Glands: Overview |
|
|
MRI is slightly more specific than CT but less sensitive to morphologic disorder. It is well suited to characterize fat, hemorrhage, and cystic changes, and MRI is the study of choice in patients with suspected pheochromocytoma or adrenal cysts. The advantage of being able to acquire images in many planes enables the radiologist and referring physicians to have a different perspective that sometimes provides relevant clinical information.MRI of the pituitary is superior to CT imaging, which has relevance in adrenal disease that is secondary to pituitary disease. Hence, in planning transphenoidal surgery of the pituitary in patients with pituitary adenoma and resultant Cushing’s disease, it would be important to visualise the optic chiasm, the optic nerves, and the cavernous sinuses. This evaluation is best performed by MRI. If a study of the adrenals is required during pregnancy, MRI is the diagnostic option of choice.Visualisation of calcification and bony structures is limited on MRI. On the other hand, MRI is very useful for defining vascular structures and the perfusional nature of adrenal lesions. |
|
Normal Character on MRI |
||
|
Because the normal adrenal gland is surrounded by retroperitoneal fat, the relatively low intensity of the gland is seen in sharp contrast to the fat, particularly on T1 weighted images. MRI is best used in the characterization of adrenal gland masses.The T1-weighted sequence is performed to optimize the morphology of the gland and the “in-phase” and “out-of-phase” techniques are also useful in defining the incidentaloma. The T2-weighted sequence enables the characterization of lesions with high water content as well as pheochromocytomas. |
||
|
||
|
These “in-phase” and “out-of-phase” T1-weighted images focus on the normal right gland. The left gland cannot be visualised on these images. On the “in-phase” sequence (first image), the adrenal is almost isointense with the liver while on the “out-of-phase” sequence, the gland darkens slightly. Courtesy of: Ashley Davidoff, M.D. |
||
|
||
|
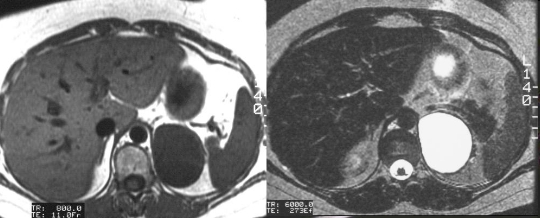
These images reflect a normal right adrenal gland showing the difference between the normal T1-weighted and T-2weighted images. On T1-weighted images, (first figure) the intensity of the adrenals is almost isointense with the liver, while on T2-weighted image, (second figure) the adrenal is brighter than the liver. Courtesy of: Ashley Davidoff, M.D. |
||
|
||
|
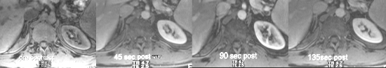
The above images are fat suppressed T1-weighted fat suppressed images of the right adrenal gland. Note the progressive and rapid gadolinium enhancement of the right adrenal gland. In this case, the adrenal gland enhances to the same extent as the spleen and slightly less than the kidneys. Courtesy of: Ashley Davidoff, M.D. |
||
Abnormal Adrenal on MRI |
||
|
MRI is very useful in the relatively frequently asked indication to “rule out pheochromocytoma”. It is said that the adrenal gland is like a “lightbulb” on T2-weighted imaging in patients with pheochromocytoma – meaning of course that it is very bright. This is not always the case in pheochromocytoma, but if you really want to see a lightbulb, take a look at the adrenal cyst. It will hurt your eyes.“In-phase” and “out-of-phase” T1 sequences are sensitive to the presence of steroidal fat present in the incidentaloma, and MRI competes well with CT for the diagnosis of this condition. Characterization of another fatty lesion called the myelolipoma is also easily solved by fat sensitive MRI sequences.
|
||
|
||
|
This MRI scan through the upper abdomen shows a fairly large mass in the left adrenal that is dark on T1-weighted image and is as bright as CSF on the T2-weighted image. These findings are characteristic of a benign cyst and no further workup is needed. Note how the right adrenal is compressed against the liver with only the medial limb in view. Courtesy of: Ashley Davidoff, M.D. |
||
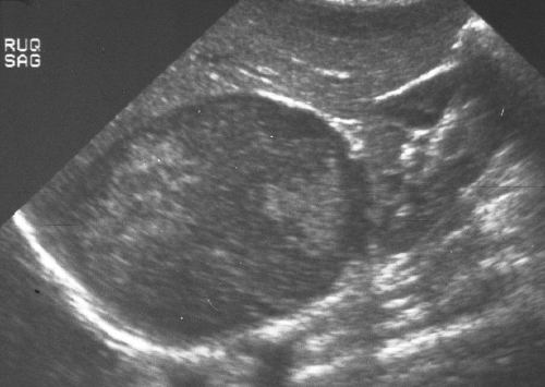
US Imaging of the Adrenal Glands: Overview |
||
|
Ultrasound is quick, and a relatively inexpensive technology, but it has significant limitations in adrenal scanning. The adrenal glands are difficult to examine by ultrasound because of their small size, their location high in the abdomen under the rib cage, and the presence of retroperitoneal fat and bowel gas. In thin patients, the normal adrenal may be identified.An anterior or lateral approach may be necessary, particularly for the right adrenal gland, which occasionally can be seen through the liver. Bowel gas often impairs visualization of the left adrenal gland. A variety of patient positions and scanning windows are often required to adequately examine the glands.Since CT and MRI have so many diagnostic advantages, ultrasound is not used as the primary modality for the adrenal glands. Ultrasound can help in the characterization of large adrenal masses, as well as to define whether a suprarenal mass originates from the kidney or the adrenal. |
||
|
||
|
This is a case of neonatal hemorrhage, showing a complex mass with both solid and cystic components. Courtesy of: Ashley Davidoff, M.D. |
||
|
||
|
This image represents a solid mass that is half the size of the kidney below the mass. A mass of this size typically indicates a primary carcinoma, however, this case represents a large pheochromocytoma. Courtesy of: Ashley Davidoff, M.D. |
||
Conclusion Adrenal |
|
|
The adrenal glands are small and mighty. We started this module with that as the opening statement and we end with the same statement. Hidden in the depths of the body – these seemingly insignificant structures play an essential role. One only has to witness or read of the dire consequences of an “adrenal crisis”, the manifestations of the Waterhouse-Frederichsen syndrome or the “Addisonian crisis” to know and understand the part these two little glands play and what happens when they fail.The glands are often difficult to find on imaging. The left gland is best found on the axial cuts showing the splenic vein, and the right is found on the axial cuts showing the IVC emerging from the liver. Once a wisp of the gland is seen it should be followed up and down till it can no longer be seen. Nodules and masses of the adrenals are notorious for hanging out of the gland (exophytic) and a gland cannot be considered normal until its full extent has been scanned up and down.The incidentaloma, or benign adenoma, is the most common mass of the adrenal and proof of a lipid substrate in the tumor makes a significant contribution to diagnosis and patient management. A pheochromocytoma crisis may be precipitated by administration of iodinated contrast, and although CT is our preferred modality for the adrenals, pheochromocytoma is best evaluated by MRI or MIBG nuclear scan. The distinction between the cortex and medulla has eluded conventional imaging. Multidetector scanning is enabling better vascular imaging, and since the cortex is an arterial part of the gland and the medulla, dominantly a venous structure, the arterial phase should enable identification of the enhanced cortex and unenhanced medulla. We are looking forward to the possible potential of the advancing technology to unfold the mysteries that still hide in the adrenals. |
|





















There are three adrenal arteries – the superior that arises from the inferior phrenic artery, the middle that arises directly off the aorta and the inferior that arises from the renal artery usually as a branch of the capsular artery. This schematic only shows 3 branches per vessel, but in reality there is extensive branching before each artery actually enters the gland.Courtesy of: Ashley Davidoff, M.D.
In this early phase arterial CT, multiple branches of the adrenal arteries are overlayed in red. Branches of the inferior phrenic arteries are seen in close association with the crura of the diaphragm. The veins have not yet filled with contrast.Courtesy of: Ashley Davidoff, M.D.




In this coronal view the shorter right adrenal vein can be seen entering the IVC, and the longer left vein, drains into the left renal vein. This information is very important for the angiographer who sometimes needs to sample the veins for hormonal levels. Note that the long and thin right adrenal gland has the short adrenal vein that enters directly into the IVC, while the short and stout left gland has a long vein that enters into the left renal vein.




























